JAYJUN 去眼袋
切除过多的脂肪或者使用激光燃烧过多的
脂肪使得眼下可以变得平平的打造一个顺滑的眼圈
手术时间30分钟~1小时
麻醉方法睡眠/局部麻醉
是否住院当天出院
拆线时间无需(因人而异)
恢复时间5~7天
根据个人状态可能会发生
出血、淤青等副作用,
恢复时间可能会有所不同

JAYJUN 去眼袋
手术对象
01
因为黑眼圈让人看上去无精打采时
02
眼下脂肪凸出严重并且下垂使得眼下有阴影时
03
即使化妆也无法遮挡眼下发黑的部分时
04
眼下脂肪凸出严重并且凹凸不平让人开上去显老时

JAYJUN 去眼袋
手术方法
01

诊断眼下凸出脂肪的范围和样子并且做设计
02

通过激光最小切开
眼皮内部的结膜
03

通过切口
取出过多的脂肪
04

打造有平坦明亮眼圈
JAYJUN 去眼袋
眼袋手术的特征
point 01
疤痕最小化
通过眼皮内结膜处手术所以几乎没有疤痕
point 02
成熟的专门医执刀
为了防止眼下凹陷去除适当的脂肪
point 03
灿烂的印象
眼下变得平平并且改善了黑眼圈使人看上去印象变得开朗灿烂

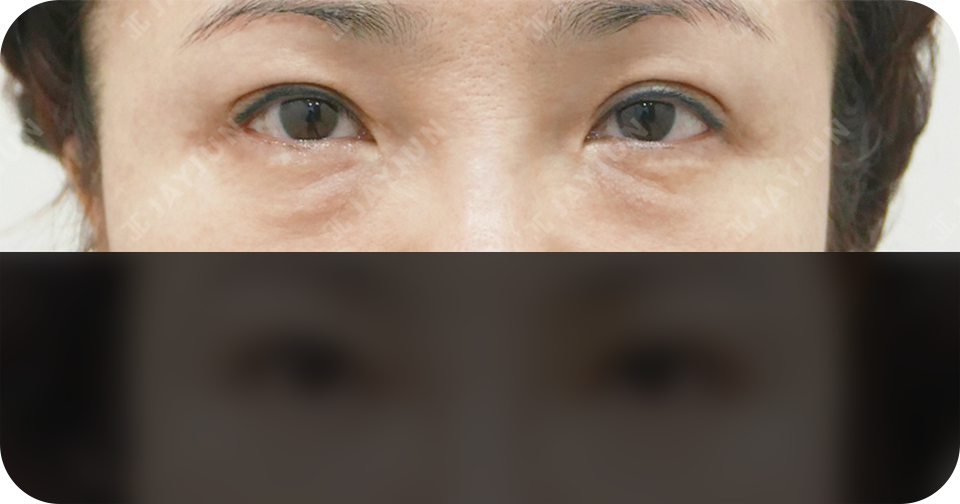
JAYJUN 去眼袋
前后照片
点击图片即可查看手术前后的照片。
JAYJUN 眼部整形特别的理由
美丽的基准,JAYJUN