JAYJUN 提眉手术
随着老化眉毛和眼皮的位置会下垂。
在眉毛上方或下面切开后并提拉上去就是切眉术。
无需双眼皮手术即可恢复
下垂前眼睛的模样是它的长处。
手术时间30~40分钟
麻醉方法睡眠/局部麻醉
当天出院当天出院
拆线时间5~7天
恢复时间5~7天后
根据个人状态可能会发生
出血、淤青等副作用,
恢复时间可能会有所不同

JAYJUN 提眉手术
手术对象
01
维持原有双眼皮的样子只是想改善下垂皮肤时
02
由于眼皮下垂严重遮挡了视野时
03
由于老化眼皮的弹性不足使得眼皮下垂时
04
由于眼皮松弛严重导致溃烂或者眼毛刺眼时

JAYJUN 提眉手术
手术放法
01

眉毛下部最小切口
02

去除下垂的眼皮向上拉
03

为防止再次下垂,
细微缝合并牢牢固定在骨膜上
JAYJUN 提眉手术
提眉手术的特征
point 01
看不见疤痕
因为在眼眉分界处切开所以疤痕不明显
point 02
印象自然
眼型不变改善皱纹
point 03
双眼皮线条不变
可以维持原有双眼皮线条情况下矫正下垂
point 04
恢复快
不会伤害眼睛的手术所以浮肿淤青小恢复快

JAYJUN 提眉手术
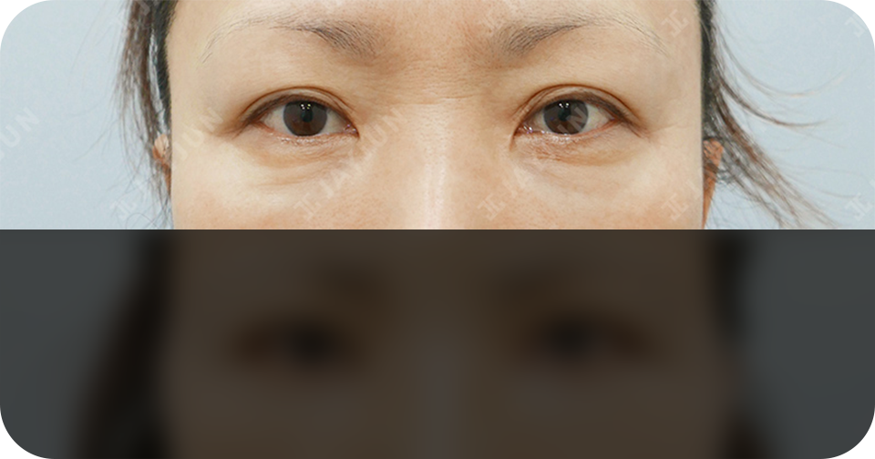
前后照片
点击图片即可查看
手术前后的照片。
JAYJUN 眼部整形特别的理由
美丽的基准,JAYJUN