JAYJUN 下眼睑手术
通过眼下切开去除下垂松弛的皮肤
并同时进行去除眼袋的手术
适合皮肤松弛严重皱纹多的50-70岁人群
改善眼下皱纹的手术
手术时间1小时
麻醉方法睡眠/局部麻醉
当天出院当天出院
拆线时间5~7天
恢复时间5~7天后
根据个人状态可能会发生
出血、淤青等副作用,
恢复时间可能会有所不同

JAYJUN 下眼睑手术
手术对象
01
下眼睑部位皱纹过多看着无精打采情况
02
下眼睑部位过于凸出或是凹陷的情况
03
皮肤严重下垂,看着比自己实际年龄老的情况

JAYJUN 下眼睑手术
手术方法
01

根据皮肤下垂的状态以及脂肪凸出的形态,周全的考虑之后进行设定切割量
02

切开下眼线的外侧,去除多余的松弛皮肤和脂肪,重组下眼皮剩余脂肪
03

将松弛的肌肉固定在骨膜上,去除皱纹后缝合
04

形成清爽的童颜眼形
JAYJUN 下眼睑手术
下眼睑手术特点
point 01
柔和而有神的印象
同时改善下眼睑皱纹和黑眼圈,改善具有亲和力的印象
point 02
微创
通过下眼睑结膜内部微创小口进行手术,术后看不到任何伤疤
point 03
增显年轻的童颜效果
下眼睑脂肪进行再排列之后形成自然美感的下眼睑增显年轻

JAYJUN 下眼睑手术
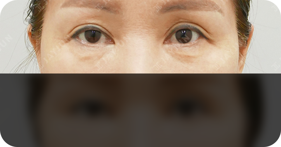
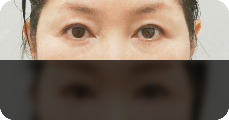
前后照片
点击图片即可查看
手术前后的照片。
JAYJUN 眼部整形特别的理由
美丽的基准,JAYJUN